q
  • Bakı 12° C

    3.04 m/s

  • USD - 1.7

    EUR - 2.0074

    RUB - 2.2372

Sarkoidozu vaxtında tanıyın - Həkimlərdən XƏBƏRDARLIQ

CƏMİYYƏT

16 Aprel 2026 | 17:59

Sarkoidozu vaxtında tanıyın - Həkimlərdən XƏBƏRDARLIQ

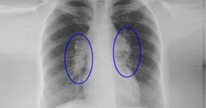
Sarkoidoz - səbəbi tam məlum olmayan, orqanizmdə iltihabi hüceyrələrin toplanması ilə xarakterizə olunan sistem xəstəliyidir.

Bakıvaxtı.az-ın xəbərinə görə, araşdırmalar göstərir ki, bu xəstəlik zamanı müxtəlif orqanlarda “qranuloma” adlanan kiçik iltihabi düyünlər əmələ gəlir. Sarkoidoz ən çox ağciyərləri və limfa düyünlərini zədələsə də, gözlər, dəri, ürək və digər orqanlara da təsir göstərə bilər.

Xəstəliyin yaranma səbəbi tam aydın olmasa da, onun immun sisteminin həddindən artıq reaksiyası ilə bağlı olduğu ehtimal edilir. Bəzi hallarda genetik meyllilik və ətraf mühit faktorları da rol oynaya bilər.

Sarkoidozun simptomları hər insanda fərqli şəkildə özünü göstərir. Ən çox rast gəlinən əlamətlərə uzunmüddətli öskürək, nəfəs darlığı, sinə ağrısı, halsızlıq, dəridə səpkilər və göz problemləri daxildir. Bəzi xəstələrdə isə xəstəlik heç bir əlamət vermədən gizli inkişaf edə bilər.

Diaqnoz qoyulması üçün həkimlər bir neçə üsuldan istifadə edir. Əsasən rentgen və ya kompüter tomoqrafiyası ilə ağciyərlər müayinə olunur, qan analizləri aparılır və dəqiq təsdiq üçün biopsiya ilə toxuma nümunəsi götürülür.

Müalicə xəstəliyin ağırlıq dərəcəsindən asılı olaraq dəyişir. Yüngül hallarda sarkoidoz öz-özünə geriləyə bilər və xüsusi müdaxilə tələb etmir. Daha ağır vəziyyətlərdə isə iltihabı azaltmaq üçün kortikosteroidlər və immun sisteminə təsir edən dərmanlar təyin olunur.

Həkimlər bildirir ki, bəzi hallarda xəstəlik xroniki hala keçə bilər. Bu səbəbdən xəstələrin mütəmadi tibbi nəzarətdə olması vacib sayılır.

Zeynəb Rzayeva


SON XƏBƏRLƏR